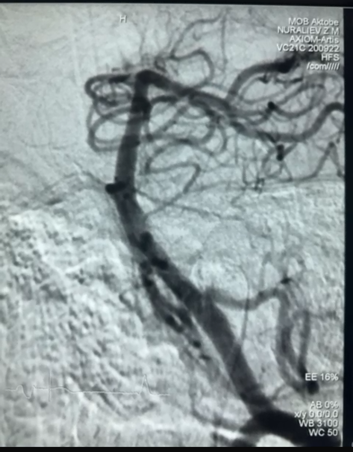
Nylig var det et vellykket trombektomitilfelle ved bruk av Dredger Stent Retriever fra NeuroSafe Medical Co., Ltd. Dredger Stent Retriever har en ikke-invasiv myk spiss, som i stor grad reduserer risikoen for intimal skade, og har et unikt spesialformet hull design som fanger opp blodpropp hovedsakelig ved å klemme gapet endringer.





