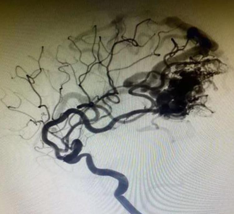
Lava -12 Intrakraniell aneurismer Liquid Embolic System
Når lavaTmIntrakranielle aneurismer Liquid Embolic System kontakter med blodet eller en hvilken som helst vandig løsning, overflaten vil umiddelbart størknet og danne en beskyttende film. DMSO i det emboliske middelet fortynnes og diffunderes i blodet, slik at tantalumpulver pakket av Evoh blir utfelt og størknet fra utsiden til innsiden. Samtidig diffunderes lava langt unna under injeksjonstrykket. Til slutt danner det en svampaktig embolisk kropp i emboliseringsstilling.

LavaTmAneurysmemboliseringssystem er laget av ikke-klebende materiale, så det er mer trygt og ikke-stick kateteret.
Det er unik formel med lav viskositet med et komplett utvalg av modeller lava -12, lava -18 og lava -34.
Det har bedre spredning og penetrering. og den kan dypt trenge inn i lesjonen, og nå det distale fartøyet.
Tantalpulveret er mer finere, nedfeller saktere og tydeligere radiografi sammenlignet med konkurrenter.

Merknader forIntrakraniell aneurismer Liquid Embolic System
● Observer om lava -flytende embolisk middel stivner, i så fall, det må tintes først.
● Sett lava flytende embolisk middel på vibratoren.
● Juster vibratoren til det høye nivået.
● Ikke mindre enn 20 minutter for å riste
● til den er brukt.
|
Produktkode |
Viskositet |
Beskrivelser |
|
Lava -12 |
12 CST |
Lavere viskositet, mer væske, for distale mikrofesser; |
|
Lava -18 |
18 CST |
Standardformel, generell bruk; |
|
Lava -34 |
34 CST |
Høyere viskositet, for høye strømningsfartøy. |











